インプラント治療の症例集/ PAGE3
![]() |
![]() |
![]() |
![]() |
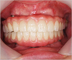
☑症例解説
上下オールオン4で治療。初診時は虫歯と歯周病で噛めませんでしたがインプラント治療後は何でも噛めるようになり美しい歯を手にいれられました。上下プロセラインプラントブリッジのチタンで製作。
![]() |
![]() |
![]() |
![]() |
☑症例解説
上顎8本のインプラントで12本のジルコニアの歯を固定しました。発音もしやすくなり咬み合わせも安定しましたので全く違和感がないと評価をいただきました。ジルコニアは歯垢がつかないのと破損が極めて少ない素材ですので現在当院ではほとんどの症例で採用しております。
![]() |
![]() |
![]() |
![]() |
☑症例解説
上顎オールオン4で治療し安定したかみ合わせと審美性を手に入れ人前でも安心して会話ができると満足されております。上下ともプロセラインプラントブリッジで治療。
![]() |
![]() |
![]() |
![]() |
☑症例解説
上下4本のインプラントで全顎的治療を行いました。プロセラインプラントブリッジにより上下の歯でしっかり噛める様になりました。
- インプラント1本16~24万円(税込)
- ※インプラント治療は自由診療(保険外診療)です。
- ※平均的な治療期間は3~6ヶ月、治療回数は6~15回程度です。
- ※インプラント治療終了後は年に3~4回程度定期健診に来院するようにご説明しておりますがそれに応じない方や個人のブラッシングの状況によりインプラント周囲に炎症が起こる場合がございます。
















