27Aug
4ヶ月の治療期間を経て全ての治療が終了しました。

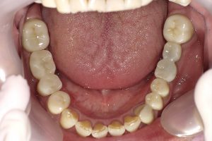
下顎の左右臼歯部分は金属色でしたが、インプラントを入れたことにより最終補綴を白い上部構造にしました。上顎の前歯も古いかぶせ物を一度取り外して新しくジルコニア製のかぶせ物にしました。宇佐からお見えの男性の患者さんでしたが非常に喜んでいただけました。最近は4ヶ月に一度のメンテナンスのみ来院されておりますので毎回口腔内のクリーニングをおこなっております。治療期間中はプラスチック製の仮歯をいれておりましたので日常生活に支障をきたすことなく過ごしていただけたようです。



当院の仮歯はCAD-CAMで製作されたものですので精密かつ審美性の高いものとなっております。患者さんを診療室で長い時間お待たせすることのないように事前に口腔内スキャナーで記録した形態を仮歯に反映させておりますので患者さんも極めて違和感が少ない状態を保つことができます。通常の即時重合レジンで作った仮歯は非常に脆く審美性に劣るものですがCADCAMで製作した仮歯はそもそも重合させた高強度のレジンディスクを削りだしますので感が素材の安定感が違います。

また細部の薄さなどは人間の眼と手では再現不可能といえます。仮歯はインプラント治療やセラミック治療期間中に重要な工程ですので見た目や強度が気になる方はCADCAMで製作された仮歯を使用することを推奨いたします。
- インプラント1本16~24万円(税込)
- ※インプラント治療は自由診療(保険外診療)です。
- ※平均的な治療期間は3~6ヶ月、治療回数は6~15回程度です。
- ※インプラント治療終了後は年に3~4回程度定期健診に来院するようにご説明しておりますがそれに応じない方や個人のブラッシングの状況によりインプラント周囲に炎症が起こる場合がございます。
新港イトセ歯科
〒874-0923
大分県別府市新港町5-1シャインリゾート別府 2F
TEL:0977-21-4477
HP::http://www.itoseshika.com/


